Hỏi
Chào bác sĩ,
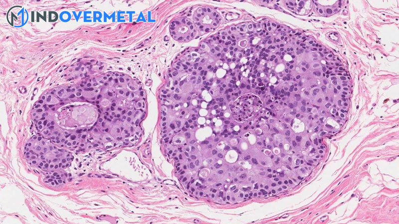
Nhờ bác sĩ giải thích giúp kết quả bệnh: Carcinoma tuyến vú xâm nhập, típ NST, độ 3 là gì? Mong bác sĩ tư vấn giúp tôi. Cảm ơn bác sĩ.
Khách hàng ẩn danh
Trả lời
Được giải đáp bởi Bác sĩ chuyên khoa I Lã Thị Tiềm – Bác sĩ Ung bướu – Trung tâm sàng lọc vú – Bệnh viện Đa khoa Quốc tế Vinmec Times City.
Chào bạn,
Với câu hỏi “Carcinoma tuyến vú xâm nhập, típ NST, độ 3 là gì?”, bác sĩ xin giải đáp như sau:
Theo phân loại hình thái mô bệnh học Ung thư biểu mô vú theo tổ chức triển khai Y tế quốc tế năm 2012, Carcinoma tuyến vú xâm nhập, típ NST có nghĩa là : Ung thư biểu mô xâm nhập không phải loại đặc biệt quan trọng ( Invasive carcinoma of no special type ). Đây là một trong những thể mô bệnh học của Ung thư vú .Độ mô học hoặc độ Nottingha chỉ độ biệt hóa tế bào ung thư. Các đặc thù được ghi nhận gồm : Sự hình thành cấu trúc tuyến, độ nhân và chỉ số nhân chia. Sau đó chúng được cộng lại với nhau và cho ra độ mô học hay độ Nottingham .

- Nếu có 3-5 điểm thì ung thư được xếp là độ 1 (biệt hóa rõ).
- Nếu có 6 hoặc 7 điểm thì ung thư được xếp là độ 2 (biệt hóa vừa).
- Nếu có 8 hoặc 9 điểm thì ung thư được xếp là độ 3 (kém biệt hóa).
Như vậy, trong Ung thư vú, độ mô học càng cao thì tiên lượng càng xấu .
Điều trị Ung thư vú là điều trị đa mô thức, kết hợp giữa: Phẫu thuật, hóa chất, xạ trị, điều trị đích, điều trị miễn dịch. Hiện nay, bệnh viện VinMec đã có Trung tâm Ung bướu Vinmec-Penn Cancer Center, là nơi quy tụ các chuyên gia quốc tế và trong nước với nhiều năm kinh nghiệm ở lĩnh vực điều trị ung thư cùng với trang thiết bị, máy móc, thuốc, hóa chất đầy đủ để điều trị Ung thư vú.
Để có kế hoạch điều trị đơn cử tốt nhất, bệnh nhân cần đến gặp bác sĩ để khám và làm xét nghiệm Cận lâm sàng thiết yếu nhằm mục đích nhìn nhận tiến trình bệnh và thực trạng sức khỏe thể chất chung .

Nếu bạn còn thắc mắc về kết quả Carcinoma tuyến vú xâm nhập, típ NST, độ 3 là gì, bạn có thể đến bệnh viện thuộc Hệ thống Y tế Vinmec để kiểm tra và tư vấn thêm. Cảm ơn bạn đã tin tưởng và gửi câu hỏi đến Vinmec. Chúc bạn có thật nhiều sức khỏe. Theo dõi mindovermetal để cập nhật thêm những thông tin mới nhất nhé!
Trân trọng!
