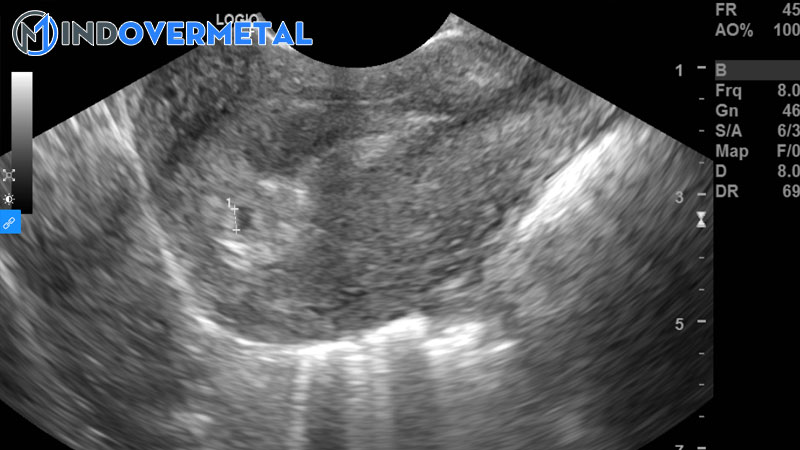
Siêu âm có túi thai nhưng chưa thấy phôi thai có sao không? Rất nhiều mẹ lo ngại khi gặp phải thực trạng có túi thai nhưng chưa thấy phôi khi đi siêu âm. Họ do dự rằng liệu thực trạng này có phải là tín hiệu quan trọng. Túi thai là một tín hiệu tích cực của việc mang thai, nhưng nó không bảo vệ rằng thai kỳ của bạn sẽ khỏe mạnh và diễn ra thông thường. Khoảng 6 tuần sau kỳ kinh sau cuối của phụ nữ mang thai, tất cả chúng ta hoàn toàn có thể thấy một cực nhỏ của thai nhi, một trong những tiến trình tăng trưởng tiên phong của phôi thai, tăng trưởng cùng với túi noãn hoàng. Cùng mindovermetal tìm hiểu chi tiết hơn trong bài viết dưới đây!
Siêu âm có túi thai nhưng chưa thấy phôi thai có sao không?
Mặc dù đây là những thời gian dự kiến để xem thai tăng trưởng bằng siêu âm, nhưng không phải toàn bộ những thai kỳ đều tăng trưởng theo cùng một mốc thời hạn. Cũng giống như những xét nghiệm mang thai, nếu có sự đổi khác về độ dài của chu kỳ luân hồi kinh nguyệt hoặc khi quy trình thụ tinh diễn ra, thì những gì tất cả chúng ta thấy trên siêu âm hoàn toàn có thể đổi khác. Điều quan trọng là siêu âm này được thực thi qua đường âm đạo để có hình ảnh chất lượng cao .

Siêu âm có túi thai nhưng chưa thấy phôi thai có sao không?
Theo những điều kiện kèm theo thường thì thì sau khoảng chừng 7-10 ngày thì trứng sẽ hoàn thành xong quy trình chuyển dời vào thành tử cung và khởi đầu bám chặt vào thành tử cung của phụ nữ, mở màn liên tục tăng trưởng. Tùy theo thực trạng về sức khỏe thể chất mẹ bầu mà quy trình này hoàn toàn có thể sẽ mất lâu hơn, hoàn toàn có thể từ 12-14 ngày .
Và điều quan trọng nhất, khởi đầu khoảng chừng từ tuần thứ 5 của thai kỳ, tức là khoảng chừng 1 tuần sau khi chậm kinh thì nồng độ hCG đã đạt chuẩn. Khi đó, mẹ đi siêu âm kiểm tra sẽ thấy được phôi thai .
Việc siêu âm có túi thai nhưng chưa thấy phôi thai ở tuần thứ 5 là thông thường, bác sĩ sẽ khuyên mẹ nghỉ ngơi khoảng chừng 1-2 tuần rồi kiểm tra tiếp hoặc ngay khi có những bộc lộ không bình thường như ra huyết, đau bụng. Tùy từng hiệu quả siêu âm kiểm tra lại, nếu vẫn chưa có phôi thai, bác sĩ sẽ tìm nguyên do và cho mẹ giải pháp hài hòa và hợp lý nhất
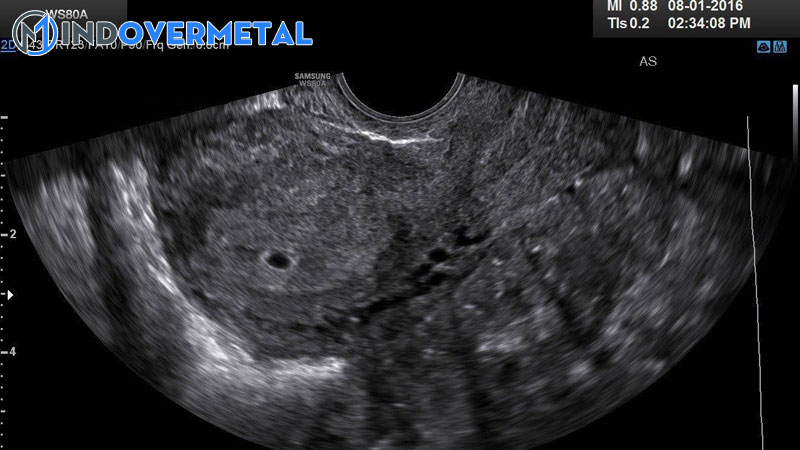
Việc siêu âm có túi thai nhưng chưa thấy phôi thai ở tuần thứ 5 là thông thường ( Ảnh minh họa )
Điều gì xảy ra khi siêu âm thấy túi thai nhưng chưa có phôi?
Khi siêu âm thấy túi thai nhưng chưa có phôi, hoàn toàn có thể xảy ra 1 số ít yếu tố dưới đây :
– Bạn tính sai ngày rụng trứng : Ngày tháng bị tính sai là nguyên do phổ cập khiến phôi thai không được nhìn thấy và hoàn toàn có thể đơn thuần có nghĩa là bạn cần siêu âm lại sau này. Bác sĩ hoàn toàn có thể so sánh hiệu quả này với nồng độ hCG của bạn ( hoàn toàn có thể sẽ thấp hơn 1500 nếu bạn chưa mang thai xa như bạn nghĩ ) .

– Bạn đã bị sảy thai : Nếu túi thai không có phôi thai và nồng độ hCG của bạn giảm, điều đó hoàn toàn có thể là tín hiệu của sảy thai sớm ( mang thai hóa học ). Hiện tượng kèm theo sảy thai là ra nhiều máu, đau bụng. Cần phải đến bác sĩ ngay để nhận được lời khuyên hữu dụng nhất .
– Bạn đã mang thai ngoài tử cung: Nếu nồng độ hCG của bạn từ 1500 đến 2000 nhưng không thấy phôi thai trong túi thai thì có thể là dấu hiệu mang thai ngoài tử cung. Mang thai ngoài tử cung có thể là một trường hợp cấp cứu y tế và nếu có khả năng xảy ra, bác sĩ sẽ muốn kiểm tra thêm và thảo luận về các lựa chọn điều trị cho mẹ. Biểu hiện của mang thai ngoài tử cung là tiết dịch đen và đau bụng dưới âm ỉ…Mẹ bầu cần phải quan sát để có những phát hiện sớm.

– Bạn dùng que thử thai không đúng chuẩn : Tình trạng này xảy ra hoàn toàn có thể là do que thử thai đã hết hạn, dùng sai cách sử dụng, nồng độ cồn từ một số ít loại thuốc điều trị cũng khiến hCG tăng nhanh .
– Bạn gặp phải thực trạng trứng rỗng : Sau khi thụ tinh, trứng sẽ chuyển dời vào tử cung và làm tổ. Tuy vậy, do một nguyên do nào đó mà trứng không liên tục tăng trưởng và tạo thành phôi thai .
Mặc dù vậy, chị em vẫn gặp những triệu chứng thường thì của mang thai, thử que vẫn 2 vạch nên siêu âm có túi thai nhưng chưa thấy phôi thai là như vậy. Hiện nay, giới y học vẫn chưa đưa ra được nguyên do đúng mực về thực trạng trứng rỗng .
Siêu âm có túi thai nhưng chưa thấy phôi nên làm thế nào?
Khi có tín hiệu mang thai và siêu âm có túi thai nhưng chưa có phôi thai kèm theo những hiện tượng kỳ lạ như xuất huyết, thở dốc, buồn nôn liên tục, chị em cần phải đến cơ sở chuyên khoa gần nhất để thực thi những xét nghiệm sâu xa và chỉ định những Kết luận sớm nhất .

Tuyệt đối không nên tự ý mua và sử dụng thuốc nếu không có chỉ định bác sĩ. Làm như vậy sẽ tác động ảnh hưởng đến sức khỏe thể chất và khiến cho thực trạng này xấu hơn. Bên cạnh đó, chị em cũng nên lựa chọn những địa chỉ khám, siêu âm thai uy tín, chất lượng để được tác dụng siêu âm đúng mực nhất. Theo dõi mindovermetal để cập nhật thêm những thông tin mới nhất nhé!
